CASE STUDY: Macula Hole
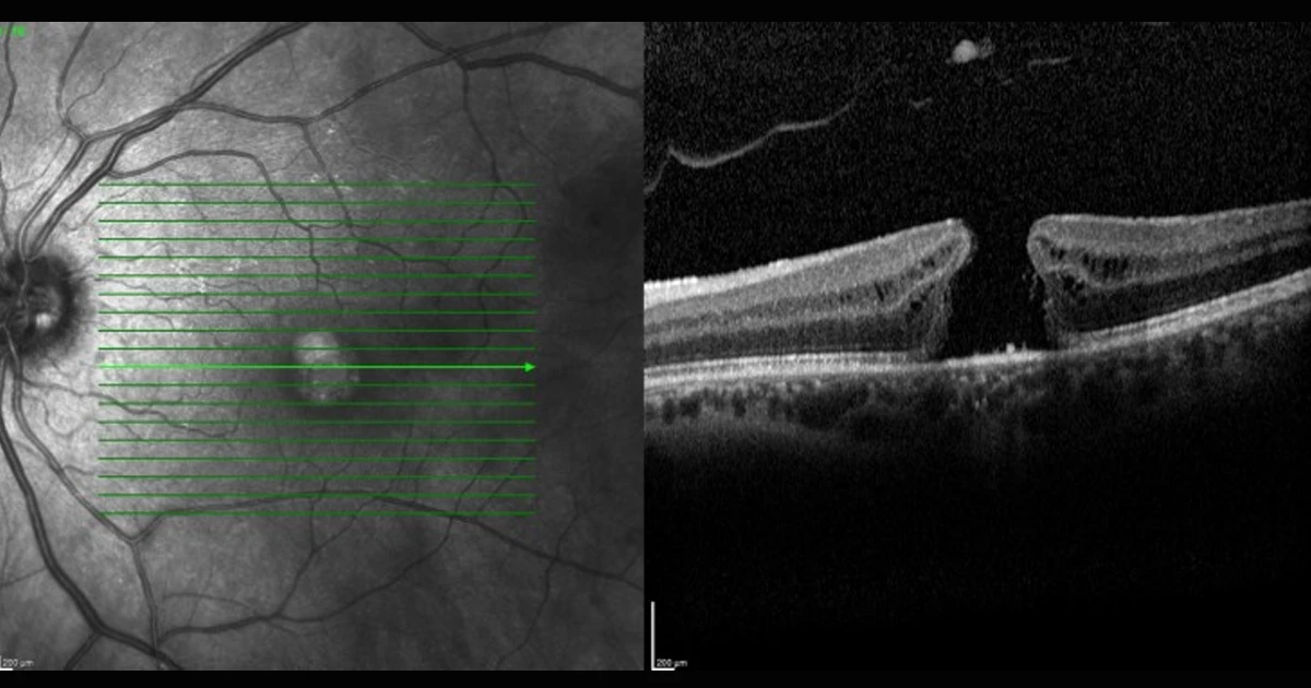
This is an OCT of a 59 year old female who presented with slow deterioration of central vision. This OCT shows a full thickness macula hole.
60 Strathallen Avenue, Northbridge NSW
Monday to Friday - 9am to 5pm
This is an OCT of a 59 year old female who presented with slow deterioration of central vision. This OCT shows a full thickness macula hole.
For appointments and enquiries, please phone 02 9958 0552
Monday to Friday 9am - 5pm
© 2015– Northern Sydney Cataract | Privacy Policy | Disclaimer | Website by: